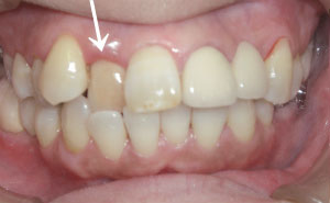
50代女性(右上2番)生駒郡在住


〈術前〉 〈術後〉

左前のさし歯が取れた時、以前通っていた歯科に
行きましたら、「となりの歯をけずってブリッジにするしか
ないなぁ」と、色も価格も相談なく治療され
ました。
今回の右前歯が出きて、見て、値段は変わらないのに、左
前の歯が、いかにもにせ物っぽく見えて残念です。
機会があれば、やり直したいと思います。
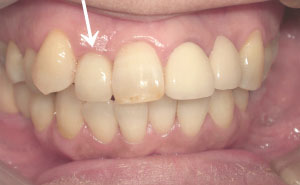
それに先生だけでなく、歯科技工士の方にも直接
説明を受け、ありがとうございました。
「プロの目から見ても大丈夫。」と言われ、安心しました。
院長先生のちょっといい話 Blog


